Royal Philips (NYSE: PHG, AEX: PHIA) zeigt auf der diesjährigen Jahrestagung der Radiological Society of North America (RSNA) die neue Version seiner Visualisierungslösung IntelliSpace Portal. Ganz im Zeichen von Automatisierung und künstlicher Intelligenz (KI) unterstützt IntelliSpace Portal 12 Radiologinnen und Radiologen mit KI-Algorithmen für kardiologische, pulmologische, onkologische und neurologische Fragestellungen. Die skalierbare, herstellerneutrale Plattform vereinfacht den Workflow, erhöht die diagnostische Sicherheit und beschleunigt die Befundkommunikation.
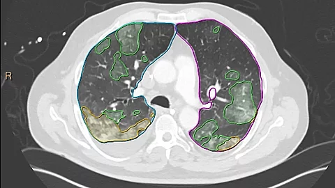
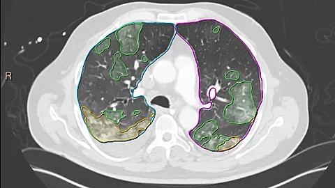
„In Zeiten von COVID-19 spielt die automatische Detektion und Charakterisierung von Lungeninfiltraten, vor allem bei viralen Pneumonien, eine wichtige Rolle“, sagt Prof. Dr. med. Hans-Ulrich Kauczor, M.D., Ärztlicher Direktor der Klinik für Diagnostische und Interventionelle Radiologie des Universitätsklinikums Heidelberg. „Zur quantitativen Beurteilung nutzt IntelliSpace Portal KI-Algorithmen, die Radiologinnen und Radiologen dabei helfen, COVID-19-Pneumonien auf Abruf zu identifizieren. Das ist auch für longitudinale Analysen und die Nachsorge von Bedeutung.“
IntelliSpace Portal 12 bietet ein umfassendes fach- und modalitätenübergreifendes Paket von KI-Algorithmen:
- Kardiologie: MR Cardiac Analysis übernimmt die Vorverarbeitung der Bilder und die automatische Segmentierung der Ventrikel. So dauert die kardiale Funktionsanalyse weniger als fünf Minuten.1 Die Nachverarbeitungslösung Caas™ MR 4D Flow2 sorgt für eine schnellere Analyse und zuverlässigere Quantifizierung des Blutflusses im Herzen und in den großen Gefäßen.3 Caas™ MR Strain4 dient der Quantifizierung der myokardialen Deformation und hilft, Kardiomyopathien, Herzklappenerkrankungen und Schäden durch kardiotoxische onkologische Chemotherapien bereits im Frühstadium zu erkennen.
- Pulmologie: CT Pulmo Auto Results ist eine Software zur Entscheidungsunterstützung bei unspezifischen Pneumonien. Die mit komplexen Datensätzen trainierten KI-Algorithmen ermöglichen eine automatische Segmentierung von Läsionen sowie die Klassifikation von Milchglastrübungen und Konsolidierungen im Thorax-CT. Die automatisch erstellten Berichte enthalten Ergebnisse der Volumen-Messung und Daten zur Verteilung der Läsionen. Das erleichtert, insbesondere bei COVID-19-Verdacht, die quantitative Beurteilung von Lungeninfiltraten und erhöht die diagnostische Sicherheit – bei gleichbleibender Befundungsdauer.
- Onkologie: CT ClearRead™5 kann 29 Prozent zuvor übersehener pulmonaler Noduli erkennen und die Befundungszeit um 26 Prozent verkürzen.6
- Neurologie: Bei Patientinnen und Patienten mit Schlaganfall führt CT Brain Perfusion automatische Perfusionsanalysen durch, die sofort im PACS verfügbar sind. Zur Optimierung der Door-to-Needle-Zeit können die Ergebnisse ebenfalls automatisch innerhalb von zwei Minuten via E-Mail an die behandelnden Ärztinnen und Ärzte weitergeleitet werden.
Zum Funktionsumfang von IntelliSpace Portal 12 gehört außerdem ein neues Tool für das fotorealistische Volume Rendering.7 Mit einer virtuellen, frei beweglichen Lichtquelle lassen sich bestimmte Bereiche gezielt illuminieren und die Plastizität der 3D-Strukturen verstärken.
IntelliSpace Portal ist ein zentrales Element der ebenfalls auf dem RSNA 2020 von Philips präsentierten Radiology Workflow Suite.
Weitere Informationen: www.philips.com/rsna
http://www.philips.com/rsna
1 Durchschnittliche Analysezeit gemessen an Validierungsstudie 4,2 Minuten +/- 0,4
2 Caas™ ist ein Warenzeichen von Pie Medical Imaging BV.
3 Kamphuis VP et al.: Automated Cardiac Valve Tracking for Flow Quantification with Four-dimensional Flow MRI. Radiology. January 2019;290(1):70-78. doi: 10.1148/radiol.2018180807
4 Caas™ ist ein Warenzeichen von Pie Medical Imaging BV.
5 CT ClearRead™ ist ein Warenzeichen von Riverain Technologies.
6 Lo SC et al: JOURNAL CLUB: Computer-Aided Detection of Lung Nodules on CT With a Computerized Pulmonary Vessel Suppressed Function. American Journal of Roentgenology. March 2018;210:480-488. doi: 10.2214/AJR.17.18718
7 Das fotorealistische Volume Rendering von IntelliSpace Portal ist nicht für die Befundung geeignet.
03.12.2020



