
Der Medizintechnikhersteller hat die CE-Zulassung für den 7-Tesla-Magnetresonanztomographen (MRT) erhalten: Magnetom Terra ist damit der erste klinisch zugelassene Ultrahochfeld-MRT überhaupt. Siemens Healthineers beschreitet so Neuland in der medizinischen Bildgebung und etabliert gemeinsam mit seinen Kunden eine neue klinische Feldstärke in der MR-Bildgebung.
Nutzer in Europa können das System nun für die routinemäßige klinische Anwendung bei neurologischen und muskuloskeletalen Untersuchungen einsetzen. Denn die CE-Kennzeichnung besagt, dass das Produkt allen EU-Anforderungen hinsichtlich Sicherheit, klinischem Nutzen und Umweltschutz entspricht.
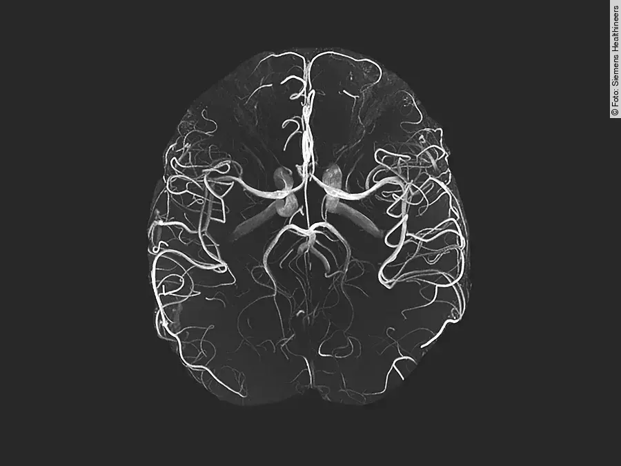
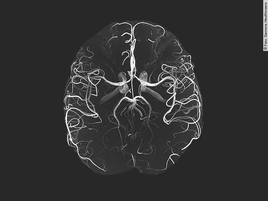
Der MRT ermöglicht dank der sehr hohen räumlichen und spektralen Auflösung detailliertere Einblicke in den menschlichen Bewegungsapparat, zeigt präzise die metabolischen Prozesse im Gehirn und hilft zudem bei der Visualisierung neurologischer Krankheiten wie Alzheimer, Epilepsie und Multipler Sklerose (MS). Besonders deutlich werden die Vorteile der Ultrahochfeld-Bildgebung bei Gehirnuntersuchungen. Bei 7 Tesla sind Läsionen dank der besseren Auflösung und des stärkeren Bildkontrasts eindeutiger zu erkennen.







Derzeit sind noch keine Kommentare vorhanden. Schreiben Sie den ersten Kommentar!
Jetzt einloggen