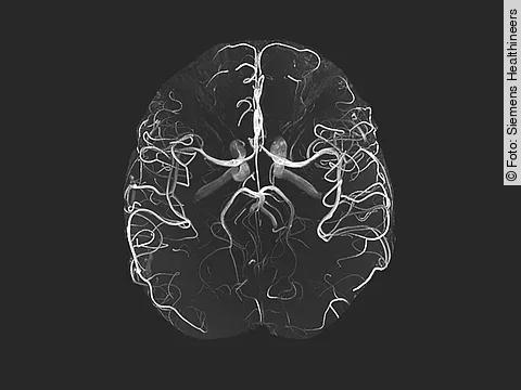
Siemens Healthineers führt mit dem 7-Tesla-Scanner Magnetom Terra eine neue klinische Feldstärke in die MR-Bildgebung ein, mit neuem Detailgrad für muskuloskeletale und neurologische Applikationen.
Die Gefäßchirurgie mit Hybrid-OP im Kreiskrankenhaus Freiberg ist dank des Einzugsgebietes Mittelsachsen mit circa 250.000 Einwohnern voll ausgelastet. Chefarzt Dr. Thomas Zimmermann gibt einen Einblick in seine tägliche Arbeit mit der TruHybrid Lösung.
Dr. Martin Walger, Geschäftsführer des Verbands der Diagnostica-Industrie (VDGH) über Neugeborenenscreening, die Leistungen der Laboratoriumsmedizin in der Notaufnahme und die ökonomischen Herausforderungen der Branche.
Zum zweiten Mal geht es am 28. und 29. Juni 2017 im Wissenschaftspark Gelsenkirchen um Inhalte, denn im Mittelpunkt der Veranstaltung steht das Expertengespräch.
Um Ärzte besser in ihrem Kampf gegen chronische Lebererkrankungen zu unterstützen, haben sich Echosens und GE Healthcare zusammengeschlossen. Durch ein neues integriertes System sollen Lebererkrankungen künftig in einer einzigen Untersuchung quantifizierbar sein.
Mit dem Pocket Monitor Videolaryngoskop, das im Oktober 2016 auf den Markt gekommen ist, hat Karl Storz nun den Deutschen Innovationspreis 2017 in der Kategorie Großunternehmen gewonnen.
Beim Wümek-Kongress am 3. und 4. Mai bekommt der Blick in die Zukunft diesmal noch mehr Raum. Forscher und Hersteller geben Technischen Leitern Einblick in ihre Arbeit – und versprechen vielfältige Impulse für den Klinikalltag und das Netzwerken am Main.
Die Stadt Mannheim und die Technologiepark Mannheim GmbH (TPMA) haben 2016 den gemeinsamen Kooperationsvertrag unterzeichnet und nun den ersten Spatenstich geschafft.
Die moderne Medizintechnik hat es möglich gemacht, dass Kardiologen und Operateure auch mit kleinen Einschnitten beziehungsweise einem Einstich in eine Ader ans Ziel kommen. Welche Instrumente und Techniken haben die Operationen in letzter Zeit revolutioniert? Und vor welchen Herausforderungen steht das OP-Management heute? Ein Interview mit…
Eine im Auftrag des Bundesministeriums für Wirtschaft und Energie erstellte Studie zum Thema "Medizinprodukte und Medizintechnik", die im Rahmen der jährlichen Vorstellung der Daten und Fakten der Gesundheitswirtschaftlichen Gesamtrechnung (GGR) nun erstmalig vorgestellt wurde, unterstreicht die große Bedeutung der Medizintechnikbranche.
Sowohl Chirurgen als auch Patienten profitieren von der Digitalisierung des OP. Es werden mehr schonende Eingriffe möglich, die Risiken sinken und die Effizienz steigt. Das ist auch nötig, denn die Zahl der Operationen nimmt zu.
Die Angiographie-Plattform Azurion ist das Ergebnis einer siebenjährigen Entwicklungszeit, in der Philips eng mit einem internationalen und interdisziplinären Expertenteam zusammengearbeitet hat.